اليونان ترصد أول إصابة محتملة بـ«جدري القردة»
أعلنت هيئة الصحة العامة في اليونان، يوم أمس (السبت)، رصد أول إصابة محتملة بجدري القردة في البلاد لدى سائح بريطاني.
وقالت الهيئة في بيان، إن المواطن البريطاني وشريكته نقلا إلى المستشفى ووضعا في غرفة معزولة.
وستبين التحاليل المخبرية الاثنين ما إذا كان الأمر متعلقاً بجدري القردة.
وسبق لدول غربية عدة أن أعلنت رصد إصابات بهذا المرض بينها فرنسا وألمانيا وبريطانيا والولايات المتحدة وإسبانيا وكندا والسويد.
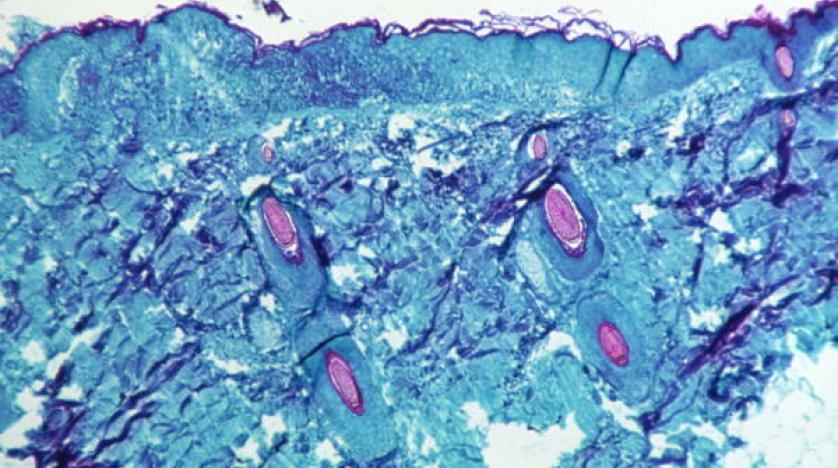
وجدري القردة مرض نادر متوطن في غرب إفريقيا، وعادة ما تكون أعراضه الحمى وآلام العضلات وتضخم الغدد اللمفاوية وطفح جلدي على اليدين والوجه.
وقالت منظمة الصحة العالمية الجمعة، إن معظم الإصابات الجديدة بهذا المرض في الدول الغربية رصدت لدى رجال مثليين، مشيرة إلى أنها تسعى إلى درس انتقال الفيروس خاصة داخل مجتمع المثليين.
الشرق الاوسط
