ارتفاع حالات خراج الدماغ لدى الأطفال في الولايات المتحدة
بعد تخفيف القيود الوبائية في الولايات المتحدة، ارتفعت حالات خراج الدماغ لدى الأطفال دون سن 18 عامًا بشكل ملحوظ، وفقًا لتقريرين من مراكز السيطرة على الأمراض والوقاية منها. فقد شهد ديسمبر (كانون الأول) 2022 الذروة بـ 102 حالة في جميع أنحاء البلاد. ومنذ ذلك الحين، تراجعت الحالات مرة أخرى لكنها ظلت أعلى من الحد الأقصى الأساسي البالغ 61 حالة شهريًا الى مارس (آذار) 2023.
وعادة ما تسبق هذه الخراجات عدوى في الجهاز التنفسي (بما في ذلك كوفيد - 19 أو الأنفلونزا أو التهاب الجيوب الأنفية). ما يؤكد أهمية أن يظل الأطفال على اطلاع على لقاحاتهم.
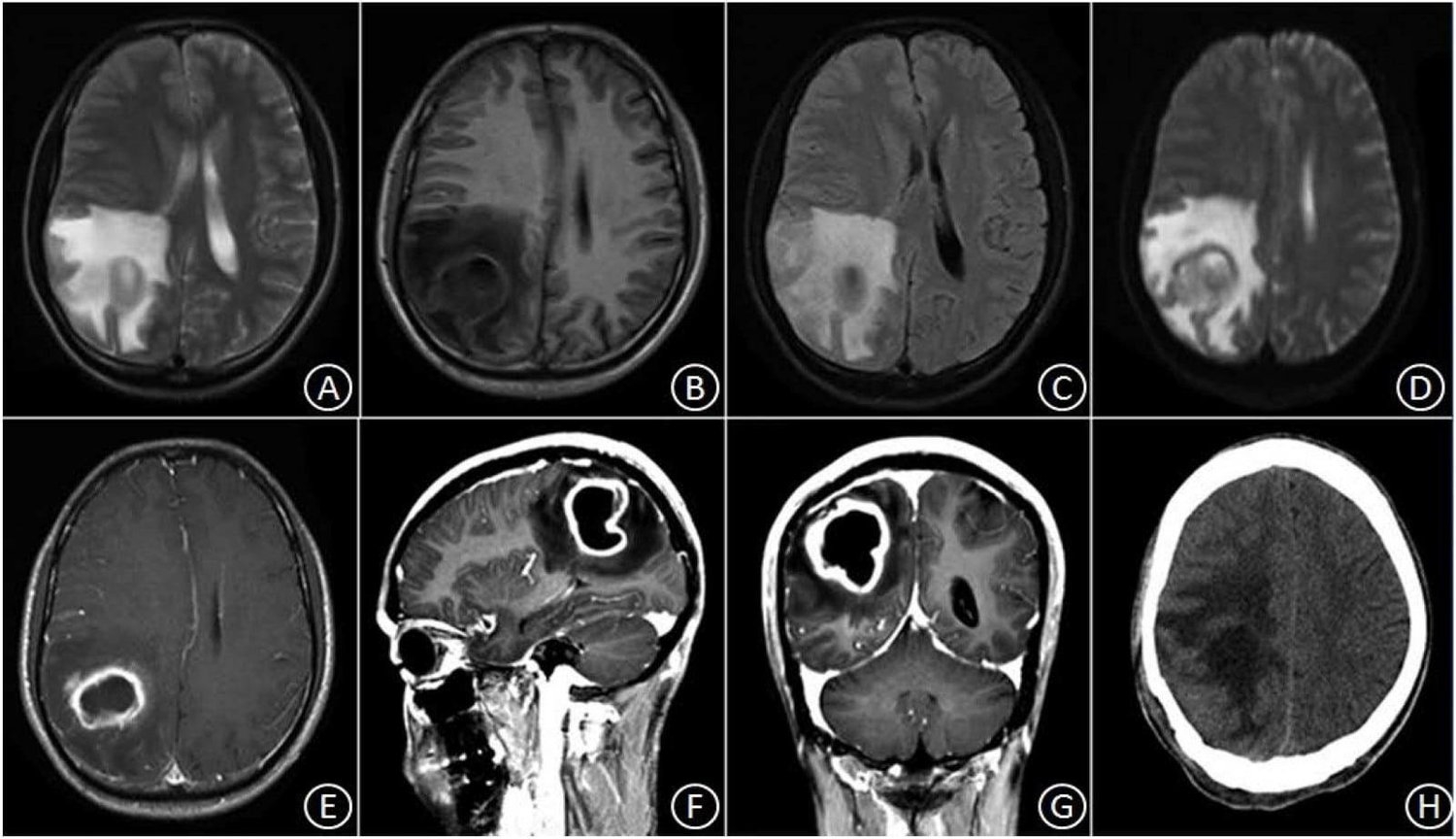
وحسب المركز ، فان خراجات الدماغ؛ حتى في هذه الأعداد المرتفعة نادرة نسبيًا، لكنها أيضًا خطيرة جدًا. مشددا «إنها عدوى في الدماغ ناتجة عن البكتيريا أو الفطريات التي تدخل المخ؛ عادةً إما عن طريق مجرى الدم من عدوى في جزء آخر من الجسم، مثل الالتهاب الرئوي أو من خلال عدوى في الرأس، مثل الأذنين والأسنان أو الجيوب الأنفية. إذ يمكن لهذه الجيوب المليئة بالصديد أن تمارس ضغطًا على أنسجة المخ حولها وتقطع تدفق الدم. كما يمكن أن تسبب الخراجات تلفًا في الدماغ. وفي الحالات الشديدة، يمكن أن تكون قاتلة؛ لذلك تحتاج إلى علاج سريع إلى حد ما بالمضادات الحيوية. وفي بعض الحالات بالجراحة»، وذلك وفق ما نشر موقع «ساينس إليرت» العلمي المتخصص، نقلا عن Johns Hopkins Medicine.
ومن أجل المزيد من التوضيح، أفاد تقرير بقيادة عالمة الأوبئة إيما أكورسي من مركز السيطرة على الأمراض بأنه «كان هناك 34 حالة شهريًا من خراج الدماغ كمتوسط أساسي من 2016 إلى 2019، بناءً على بيانات المستشفيات. وخلال هذا الوقت، كان الحد الأقصى الأساسي 61 حالة في الشهر. بعد ذلك، ضربت جائحة كوفيد - 19 العالم في مارس 2020، وبدأت البلدان في جميع أنحاء العالم باتخاذ تدابير لمحاولة الحد من انتشار العدوى، بما في ذلك ارتداء الأقنعة واستخدام أجهزة التنفس للحد من انتقال الهباء الجوي وإغلاق المناطق بأكملها. كانوا محصورين في منازلهم لتقليل الاتصال الشخصي. وخلال الأشهر التالية، انخفضت العديد من الأمراض. على سبيل المثال، انخفضت حالات الإنفلونزا بشكل كبير، كما انخفضت حالات الفيروس المخلوي التنفسي (RSV). يبدو أن حالات خراج الدماغ قد تسببها المكورات العقدية ايضا. إذ توجد هذه البكتيريا بشكل شائع في مرضى RSV أو الأنفلونزا. واعتبارًا من مايو (أيار) 2020، انخفضت الحالات الشهرية أقل بكثير من خط الأساس وظلت على هذا النحو حتى مايو 2021». لكن وفقًا لتقارير مراكز السيطرة على الأمراض «بعد ذلك بدأت الحالات في الارتفاع إلى أرقام أعلى بكثير من تلك التي تم احتسابها قبل الجائحة».
وتضيف أكورسي «على الرغم من ملاحظة بعض التباين بين مناطق مكتب الإحصاء الأميركي، إلا أن الأنماط العامة كانت متشابهة بشكل عام؛ حيث انخفاض عدد الحالات باستمرار بعد ظهور الوباء، ثم فترة زيادة تبدأ في منتصف إلى أواخر عام 2021 تليها ذروة كبيرة خلال شتاء عام 2022 –2023»،
ويتم التعرف على حالات خراج الدماغ عند الأطفال على أنها مضاعفات خطيرة لعدوى الجهاز التنفسي الفيروسية عند الأطفال؛ فبعد تخفيف القيود الوبائية في عام 2022، ارتفعت فيروسات الجهاز التنفسي بجميع أنحاء العالم فارتفعت حالات الإنفلونزا و RSV إلى آفاق جديدة، لتنضم إلى كوفيد - 19 في ظاهرة أصبحت تُعرف باسم «الوباء الثلاثي». وكان سبب ذلك، وفقًا لخبير الأمراض المعدية كريستوفر جيل بجامعة بوسطن، نوعًا من تأثير الارتداد من معدلات الإصابة المنخفضة خلال ذروة القيود الوبائية. ومع ذلك، ظلت فوق الحد الأقصى الأساسي البالغ 61 حالة شهرية حتى مارس 2023. ولم يتم تضمين البيانات بعد هذا الوقت في التقرير.
وعلى الرغم من أن التقرير الأول لا يقدم أي تكهنات حول سبب ارتفاع الحالات. لكن مركز السيطرة على الأمراض سيواصل مراقبة الظاهرة ويقترح أن يظل الأطباء متيقظين لعلامات خراج الدماغ لدى الأطفال الذين يعانون من أعراض تنفسية.
من جانبها، تحذر أكورسي وفريقها «أن يظل جميع الأشخاص الذين تتراوح أعمارهم 18 عامًا على اطلاع بالتطعيمات الموصى بها، بما في ذلك الإنفلونزا و كوفيد - 19».
الشرق الاوسط
