الذكاء الصناعي يقرأ الأفكار وينصّها
طُوّر جهاز فك ترميز يعتمد على الذكاء الصناعي، قادر على ترجمة نشاط الدماغ إلى نص متدفق باستمرار، في اختراق يتيح قراءة أفكار المرء بطريقة غير جراحية، وذلك للمرة الأولى على الإطلاق، حسب صحيفة «الغارديان» البريطانية.
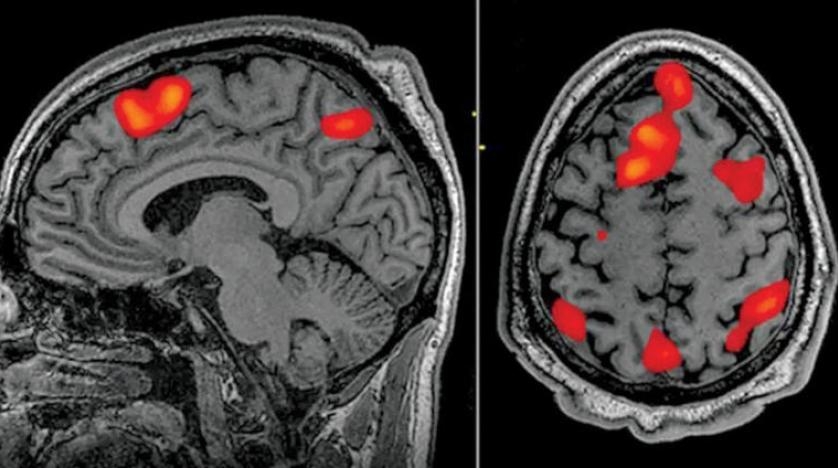
وبمقدور جهاز فك الترميز إعادة بناء الكلام بمستوى هائل من الدقة، أثناء استماع الأشخاص لقصة ما - أو حتى تخيلها في صمت - وذلك بالاعتماد فقط على مسح البيانات بالتصوير بالرنين المغناطيسي الوظيفي فقط.
وجدير بالذكر أن أنظمة فك ترميز اللغة السابقة استلزمت عمليات زراعة جراحية. ويثير هذا التطور الأخير إمكانية ابتكار سبل جديدة لاستعادة القدرة على الكلام لدى المرضى الذين يجابهون صعوبة بالغة في التواصل، جراء تعرضهم لسكتة دماغية أو مرض العصبون الحركي.
في هذا الصدد، قال الدكتور ألكسندر هوث، عالم الأعصاب الذي تولى قيادة العمل داخل جامعة تكساس في أوستن: «شعرنا بالصدمة نوعاً ما؛ لأنه أبلى بلاءً حسناً. عكفت على العمل على هذا الأمر طيلة 15 عاماً... لذلك كان الأمر صادماً ومثيراً عندما نجح أخيراً».
ويذكر أنه من المثير في هذا الإنجاز أنه يتغلب على قيود أساسية مرتبطة بالتصوير بالرنين المغناطيسي الوظيفي، وترتبط بحقيقة أنه بينما يمكن لهذه التكنولوجيا تعيين نشاط الدماغ إلى موقع معين بدقة عالية على نحو مذهل، يبقى هناك تأخير زمني كجزء أصيل من العملية، ما يجعل تتبع النشاط في الوقت الفعلي في حكم المستحيل.
ويقع هذا التأخير لأن فحوصات التصوير بالرنين المغناطيسي الوظيفي تقيس استجابة تدفق الدم لنشاط الدماغ، والتي تبلغ ذروتها وتعود إلى خط الأساس خلال قرابة 10 ثوانٍ، الأمر الذي يعني أنه حتى أقوى جهاز فحص لا يمكنه تقديم أداء أفضل من ذلك.
وتسبب هذا القيد الصعب في إعاقة القدرة على تفسير نشاط الدماغ استجابة للكلام الطبيعي؛ لأنه يقدم «مزيجاً من المعلومات» منتشراً عبر بضع ثوانٍ.
ورغم ذلك، نجحت نماذج اللغة الكبيرة - المقصود هنا نمط الذكاء الصناعي الذي يوجه «تشات جي بي تي» - في طرح سبل جديدة. وتتمتع هذه النماذج بالقدرة على تمثيل المعنى الدلالي للكلمات بالأرقام، الأمر الذي يسمح للعلماء بالنظر في أي من أنماط النشاط العصبي تتوافق مع سلاسل كلمات تحمل معنى معيناً، بدلاً من محاولة قراءة النشاط كلمة بكلمة.
وجاءت عملية التعلم مكثفة؛ إذ طُلب من ثلاثة متطوعين الاستلقاء داخل جهاز ماسح ضوئي لمدة 16 ساعة لكل منهم، والاستماع إلى مدونات صوتية. وجرى تدريب وحدة فك الترميز على مطابقة نشاط الدماغ للمعنى باستخدام نموذج لغة كبير أطلق عليه «جي بي تي - 1»، الذي يعتبر سلف «تشات جي بي تي».
الشرق الاوسط
