اكتشاف صلة بين المادة الرمادية بالدماغ والصعوبات اللغوية لأطفال التوحّد
كشفت الخدمة الصحفية لمدرسة الاقتصاد العليا في موسكو يوم (الأربعاء) الماضي ان علماء الفسيولوجيا العصبية الروس والأميركيين اكتشفوا ان اضطرابات لغوية وصعوبات متعلقة بإجادة اللغة غالبا ما تحدث عند الأطفال المصابين بالتوحد في حال تميّزهم بحجم منخفض نسبيا من المادة الرمادية في الدماغ وزيادة تعرقهم في الفص الصدغي والجبهي من القشرة، وذلك وفق ما نشرت وكالة أنباء «تاس» الروسية.
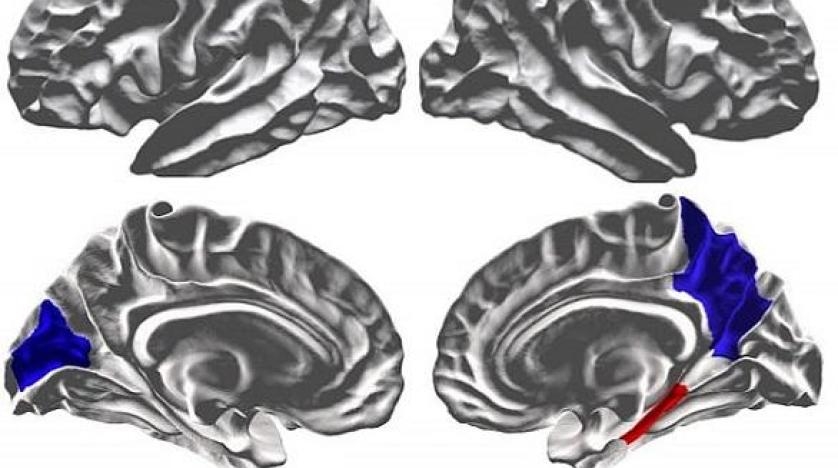
وجاء في بيان الخدمة «أن حجم المادة الرمادية كان أقل بشكل ملحوظ لدى الأطفال المصابين بالتوحد، كما ازدادت لديهم نسبة التعرج في القشرة الدماغية. فيما أظهر التحليل أن المهارات اللغوية تعتمد على سمك المادة الرمادية وشدة التعرج في مناطق القشرة الدماغية التي تشارك في النشاط الكلامي. وتشمل هذه المناطق أقساما من الفص الصدغي والجبهي من القشرة الدماغية».
وحسب منظمة الصحة العالمية، توجد اضطرابات في طيف التوحد (ASD) لدى واحد من كل مائة طفل على سطح كوكبنا، ومع ذلك فإن عدد المرضى يزداد كل عام بنسبة 13 %.
من جهتهم، يربط العلماء تطور هذا الأمر بالعوامل الوراثية والخصائص المختلفة للنباتات الدقيقة التي تحيط بالطفل، وعملية التربية والظروف البيئية الأخرى التي ينمو فيها.
وقد اهتم فريق من علماء الفسيولوجيا العصبية الروس والأجانب بقيادة وارطان أروتيونيان الباحث بمعهد دراسة الأطفال بسياتل الأميركية، بما إذا كانت هناك سمات مميّزة لبنية دماغ الأطفال المصابين بالتوحد الذين يعانون من صعوبات مختلفة بتعلم اللغة.
وتضمنت التجربة 36 طفلا تتراوح أعمارهم بين 8 أعوام و14 عاما، بينهم 18 طفلا يعانون من اضطرابات طيف التوحد ونفس العدد من الأطفال الذين يجري نموهم طبيعيا. وتم فحص أدمغة المشاركين باستخدام التصوير بالرنين المغناطيسي الهيكلي، وكذلك تم تقييم المهارات اللغوية للأطفال بمساعدة الاختبار السلوكي.
واكتشف الباحثون أن حجم المادة البيضاء في مناطق مختلفة من الدماغ عند الأطفال كان متشابها، بينما كان حجم المادة الرمادية عند الأطفال المصابين بالتوحد أقل قليلا. وفي الوقت نفسه، وجد الباحثون أن مستوى التعرج بقشرة الأطفال المصابين بالتوحد كان أعلى بشكل عام مما هو معتاد لدى أقرانهم من المجموعة الاختبارية.
وقد أظهرت المقارنة اللاحقة لهذه البيانات مع المهارات اللغوية للأطفال أن المشكلات المتعلقة بنموهم غالبا ما تنشأ عند الأطفال المصابين بالتوحد الذين تميّزوا بسماكة منخفضة نسبيا للمادة الرمادية في الدماغ، فضلا عن أعلى مستوى من التعرق في الدماغ والفص الصدغي والجبهي للقشرة المرتبطة مباشرة بالنشاط الكلامي.
من جانبها، خلصت الباحثة بالمركز ألينا مينيجولوفا الى القول «ان نتائجنا تتناقض مع النظرية التي تفيد بأن نمو الدماغ نمواً غير نمطي باكراً لدى الأطفال المصابين بالتوحد يعود إلى طبيعته بحلول سن المدرسة الثانوية».
الشرق الاوسط
